Gum Disease
Sore, Swollen Gums

You May Have Gum Disease
Do you have red, receding, or tender gums? Are your teeth sensitive? Have you noticed pockets forming between your gums and your teeth? These are all telltale signs of gum disease. Brushing and flossing twice daily in addition to having regular checkups and professional cleanings are critical to maintaining your dental health. But it’s not just your teeth that benefit from those habits. Your gums also stay healthy when you follow recommended dental hygiene routines.
By taking these steps, you eliminate harmful bacteria from remaining in your mouth and closing the door to oral, and systemic infection. When allowed to flourish, those bacteria can cause gum disease, or periodontal disease. Though this may begin as minor oral discomfort, gum disease can lead to tooth loss, jawbone recession, and even serious whole-body health problems like cardiovascular disease. Don’t let gum disease go untreated. Before your condition deteriorates, seek targeted treatment for gum disease in Huntersville, NC from our skilled team at Reimels, Miller, Paterra Family & Cosmetic Dentistry,
Warning Signs of Gum Disease
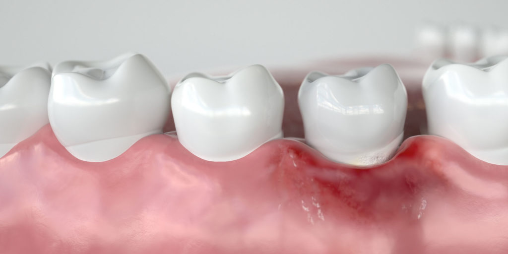
- Swollen, tender, or bleeding gums
- Persistent bad breath (halitosis)
- Receding gums
- Deep pockets between gums and teeth
- Heightened tooth sensitivity
- Loose or shifting teeth

Stages of Gum Disease
Gingivitis
Periodontitis
Advanced Periodontitis

Risk Factors for Gum Disease
- Poor dental hygiene
- Tobacco use
- Existing systemic health problems
- Genetic predisposition
Gum Disease and Whole-Body Health
The destructive effects of gum disease don’t stop with the mouth. Studies have shown that gum disease in Huntersville, NC and across the country has been positively linked to systemic health issues including heart disease, stroke, cancer, respiratory disease, and diabetes and pregnancy complications. This is because the same bacteria that trigger gum disease can travel through your body and reach your major organs.
You could be living each day with a systemic, low-grade infection. With all the dangers gum disease presents, it’s easy to see why you should do your best to prevent it and get help at the first sign of symptoms!

Ready to Experience Exceptional Dental Care
Get ready to experience exceptional dental care with Reimels & Paterra. From personalized treatments to advanced technology, our dedicated team is here to make your visit comfortable, convenient, and tailored to your unique needs.
